Roche
MS Showcase - A practical overview of ocrelizumab

Caso Clínico #3

Idade: 43
Tipo EM: Surto-Remissão (EMSR)

Caso
Clínico #3

Dra. Lia Leitão
Dra. Lia Leitão
Neurologista, Hospital Prof. Doutor Fernando Fonseca, EPE
Dra. Lia Leitão
Neurologista, Hospital Prof. Doutor Fernando Fonseca, EPE
  • Exame neurológico Exame neurológico
  • Estudo analítico Estudo analítico
  • Ressonância magnética Ressonância magnética

Anamnese

  • Antecedentes: enxaqueca sem aura (sob profilaxia)
2008
  • Nevrite ótica do olho esquerdo
2009
  • Surto sensitivo-motor hemisférico direito
  • Exames realizados permitem o diagnóstico de Esclerose Múltipla Surto-Remissão
  • Exame neurológico
  • Tratamento com interferão beta 1a 44 sc

Exame neurológico

  • EDSS: 1
2013
  • Ressonância magnética

Ressonância magnética

  • Lesão T2 aumentada
2014
  • Possível surto tronco cerebral
  • Ressonância magnética

Ressonância magnética

  • Nova lesão T2 parietal
2015
  • Tratamento com dimetilfumarato
  • Exame neurológico

Exame neurológico

  • EDSS: 1.5
2016
  • Ressonância magnética
  • Proposta nova mudança terapêutica:
    • Natalizumab: recusa por JCV+ (título 0.61)
    • Fingolimod: linfopenia persistente após 2 meses de washout

Ressonância magnética

  • Nova lesão Gad+
2017
  • Tratamento com teriflunomida
  • Exame neurológico
  • Diagnóstico de Lúpus Eritematoso Sistémico (artralgias, leucopenia, ANA 1/640) ⟶ hidroxicloroquina

Exame neurológico

  • EDSS: 2
2018
  • Ressonância magnética anual estável
  • Aos 18 meses de terapêutica
    • Surto hemisférico motor
    • Ressonância magnética

Ressonância magnética

  • Nova lesão T2 na coroa radiária posterior
Idade: 43
Tipo EM: Surto-Remissão (EMSR)

Qual seria a sua decisão terapêutica?

1

Manter teriflunomida

Não foi esta a decisão tomada.

2

Mudar para ocrelizumab

3

Mudar para cladribina

Não foi esta a decisão tomada.

Correto! Ocrelizumab
2019
  • Eliminação acelerada da teriflunomida com colestiramina com normalização do hemograma
  • Pré-requisitos:
    • HIV, HCV, Igra, VDRL negativos
    • HBV imune (AcHBs+/AgHBs-/AcHBc)
    • Doseamento de Imunoglobulinas normais
    • Vacinacção Pn13 > Pn23 (8 semanas depois)
  • Inicia tratamento com ocrelizumab
  • Exame neurológico

Exame neurológico

  • EDSS: 2.5
2021 SET
  • Follow-up ⟶ completou 24 meses (5 ciclos)
  • Sem surtos ou sensação de progressão
  • Exame neurológico
  • Ressonância magnética
  • Sem intercorrências infeciosas (sem infeção COVID-19 e vacinação sem intercorrências)
  • Estudo analítico

Exame neurológico

  • EDSS: 2.5

Estudo analítico

  • Sem hipogamaglobulinemia
  • Linfopenia B19 absoluta (2%)

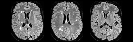
Ressonância magnética

  • RM rebaseline e primeiro ano sem novas lesões T2 ou lesões captantes de gadolínio
  • Aguarda RM 2º ano
Dra. Lia Leitão
Neurologista, Hospital Prof. Doutor Fernando Fonseca, EPE
Veja também

Caso Clínico #1