Roche
MS Showcase - A practical overview of ocrelizumab

Caso Clínico #1

Idade: 25
Tipo EM: Surto-Remissão (EMSR)

Caso
Clínico #1

Dra. Inês Correia
Dra. Inês Correia
Neurologista, Centro Hospitalar e Universitário de Coimbra
Dra. Inês Correia
Neurologista, Centro Hospitalar e Universitário de Coimbra
  • Exame neurológico Exame neurológico
  • Estudo analítico Estudo analítico
  • Ressonância magnética Ressonância magnética

Anamnese

  • Estudante universitária
  • Antecedentes pessoais: paresia facial periférica esquerda em contexto de otite (20 anos)
  • Medicação habitual: contraceptivo oral
  • Sem antecedentes familiares relevantes
2018 MAR
  • 23 anos
  • Alterações da acuidade visual, desequilíbrio e fadiga
  • Resolução espontânea, não procurou cuidados de saúde
2019 MAR
  • 24 anos
  • Desconforto cervical
  • Dormência do membro superior esquerdo > fraqueza muscular
  • Agravamento progressivo
2019 JUN
  • Internamento em Neurologia
  • Exame neurológico
  • Estudo analítico
  • Ressonância magnética
  • Mielite Cervical C2 > Não cumpre critérios para EM > Vigilância clínica e imagiológica

Exame neurológico

  • Hipostesia álgica do MSE
  • Défice motor muito discreto no MSE
  • Marcha pé-ante-pé com alguma instabilidade

Estudo analítico

  • LCR:
    • Bandas oligoclonais + no LCR, mas não no soro
    • Citoquímico sem alterações
  • Anticorpos anti-AQP4 e anti-MOG negativos
  • Autoimunidade sistémica negativa
  • Painel de rastreio de infeções negativo

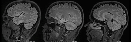
Ressonância magnética

  • Área de hipersinal nas sequências de TR longo no cordão posterior esquerdo face ao dente do axis, passível de traduzir lesão inflamatória. Gd-
  • Foco de hipersinal no hemisfério cerebeloso esquerdo, de natureza indeterminada
2020 FEV
  • Dormência, dor e fraqueza do membro inferior esquerdo
  • Cefaleia persistente diária
  • Exame neurológico
  • Ressonância magnética
  • Diagnóstico de Esclerose Múltipla Forma Surto-Remissão
  • 5 dias de metilprednisolona 1000 mg iv + pantoprazol iv
  • Recuperação praticamente completa (manteve hipostesia álgica na região plantar esquerda)

Exame neurológico

  • Monoparésia MIE G4+
  • Hiperreflexia generalizada
  • Hipostesia álgica da região plantar do pé esquerdo

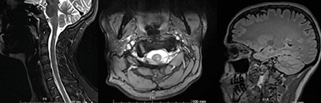
Ressonância magnética

  • Hipersinal nas ponderações TR longo, sugestivos de lesões desmielinizantes
    • periventricular no corno temporal direito e frontal ipsilateral
    • no corpo do corpo caloso à direita
    • justacortical parietal superior esquerda
    • interface caloso-septal de muito pequenas dimensões direito
    • pequeno foco de hipersinal no cone medular paramediano direito
Idade: 25
Tipo EM: Surto-Remissão (EMSR)

Em fevereiro de 2020:

  • EMSR muito ativa
  • 2 surtos no último ano + aumento significativo da carga de lesões T2

Qual seria a sua decisão terapêutica?

1

Natalizumab

Não foi esta a decisão tomada.

2

Fingolimod

Não foi esta a decisão tomada.

3

Cladribina

Não foi esta a decisão tomada.

4

Ocrelizumab

Correto! Ocrelizumab
2020 JUN
  • Primeiras 2 infusões de Ocrelizumab 300 mg separadas por 2 semanas
  • Sem intercorrências
ATUAL
  • 15 meses de tratamento com ocrelizumab 600 mg, 6/6 meses
  • Sem efeitos secundários
  • Sem novos surtos
  • Ressonância magnética
  • Exame neurológico

Exame neurológico

  • EDSS: 1.5

Ressonância magnética

  • RMce de controlo: sem novas lesões em T2 ou captantes de Gd
Dra. Inês Correia
Neurologista, Centro Hospitalar e Universitário de Coimbra
Veja também

Caso Clínico #2