Roche
MS Showcase - A practical overview of ocrelizumab

Caso Clínico #2

Idade: 41
Tipo EM: Secundária Progressiva (EMSP)

Caso
Clínico #2

Dr. Ricardo Soares dos Reis
Dr. Ricardo Soares dos Reis
Neurologista, Centro Hospitalar Universitário de São João
Dr. Ricardo Soares dos Reis
Neurologista, Centro Hospitalar Universitário de São João
  • Exame neurológico Exame neurológico
  • Estudo analítico Estudo analítico
  • Ressonância magnética Ressonância magnética
  • Avaliação neuropsicológica Avaliação neuropsicológica

Anamnese

  • Escolaridade: 11º ano
  • Profissão atual: representante de vendas
  • Antecedentes: hipertensão e dermatite atópica
1998
  • Alteração sensitiva sem observação médica
2000 FEV
  • Alteração da sensibilidade do membro superior direito
  • Ressonância magnética
  • Exame neurológico
  • Estudo analítico
  • Diagnóstico de Esclerose Múltipla

Exame neurológico

  • Potenciais evocados visuais: normais

Estudo analítico

  • Índice de IgG LCR/soro 2,1 UA (N 0,3-0,6)
  • Bandas oligoclonais LCR/soro: 2/0

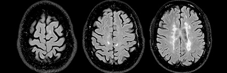
Ressonância magnética

  • Lesões periventriculares (1 captante) e justacorticais
2000 AGO
  • Inicia tratamento com interferão-beta
2001 MAI
  • Troca de tratamento para outra formulação
2003 DEZ
  • Interrompe tratamento por elevação de enzimas hepáticas
  • Ressonância magnética
  • Perde seguimento noutra instituição

Ressonância magnética

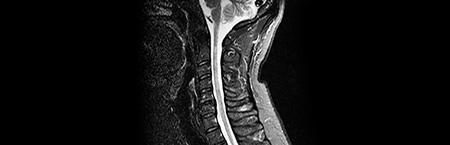
  • RM de controlo apresenta de novo carga lesional medular
2012 FEV
  • Referenciado para a nossa consulta, com novo surto (parésia facial de padrão central)
  • Não inicia terapêutica imunomoduladora por recusa
  • Volta a perder seguimento
2015
  • Ressonância magnética do neuroeixo
  • Mantém recusa em iniciar terapêutica
  • Exame neurológico

Exame neurológico

  • EDSS de 1.0 (hiperreflexia)

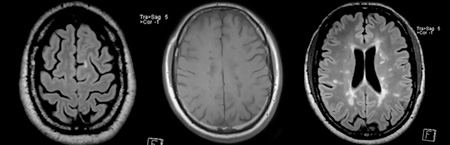
Ressonância magnética

  • Carga lesional extensa
  • Inúmeras novas lesões em relação a RM prévia
  • Seguimento irregular com relativa estabilidade neurológica apesar de noção subjetiva de declínio motor
2019 JUN
  • Surto sensitivo-motor com atingimento de ambos os membros inferiores, do qual não recupera apesar de tratamento com metilprednisolona
  • Refere queixas mnésicas
2019 SET
  • Ressonância magnética

Ressonância magnética

  • "aumento do número de lesões supratentoriais (…) no estudo medular não se destacam seguras lesões de novo"
  • Nos meses que se seguiram ao surto, noção de dificuldade progressiva na marcha, com necessidade de usar canadiana
2019 NOV
  • Exame neurológico
  • Avaliação neuropsicológica
  • Suspende atividade profissional
  • Refere vontade de iniciar imunomodelador
  • Estudo analítico
  • PNV atualizado para sua faixa etária

Exame neurológico

  • AV 1.8m 20/20 -1 OU. Sem discromatópsia.
  • FO sem alterações. Sem alterações pupilares
  • Perseguição decomposta em todas as direções. Sacadas normais. Sem diplopia.
  • PFC esquerda incipiente. Disartria incipiente. Sem alterações sensitivas na face.
  • Hemihipostesia direita.
  • Força preservada nos MSs. Força G3 no MID e G4 no MIE.
  • Espasticidade moderada MID e ligeira MIE e MSs. ROTs globalmente vivos.
  • Marcha paretico-espastica a custa do MID.
  • Esfíncteres: queixas de urgência urinária.
  • EDSS: 6.0 (marcha)

Estudo analítico

  • JCV index não disponível
  • IGRA positivo

Avaliação neuropsicológica

  • Defeito cognitivo ligeiro, subcortical
  • Sem queixas de cognição ou humor autoreportadas
Idade: 41
Tipo EM: Secundária Progressiva (EMSP)

Qual seria a sua decisão terapêutica?

1

Manter vigilância

Não foi esta a decisão tomada.

2

Iniciar cladribina

Não foi esta a decisão tomada.

3

Iniciar interferão-beta

Não foi esta a decisão tomada.

4

Iniciar ocrelizumab

Correto! Ocrelizumab
  • Cumpriu 1 mês de tratamento com isoniazida
  • Esquema acelerado de vacinação para a hepatite B
2020 JUN
  • Inicia ocrelizumab porque:
    • Doente com forma progressiva da doença
    • Atividade clínica (surto) e imagiológica (aumento da carga lesional)
  • Desde o início de Ocrelizumab, não ocorreram novos surtos
  • Iniciou programa de reabilitação na instituição
2020 DEZ
  • Ressonância magnética de rebaselining 6m após início de terapêutica

Ressonância magnética

  • Apresentava estabilidade da carga lesional supratentorial, e ausência de lesões captantes
  • Referência a nova lesão em D6
2021 SET
  • Após o início de ocrelizumab, tinha reiniciado a atividade profissional noutra empresa
  • Exame neurológico
  • Aguarda nova RM

Exame neurológico

  • O exame neurológico seriado revelou estabilidade dos défices neurológicos, apesar de queixas sensitivas flutuantes nos membros superiores
Dr. Ricardo Soares dos Reis
Neurologista, Centro Hospitalar Universitário de São João
Veja também

Caso Clínico #3